子供の歯並び相談室お子さんの歯並びをサポートする!いとう歯科クリニック運営

月火水木金土日09:30-12:3014:30-19:30

▲…土曜の午後は14:00-17:00の診療となります
受付は診療時間の30分前までにお済ませください

ご予約・お問い合わせはこちらまで!045-439-6110 【診療時間】9:30-18:30【休診日】水曜・日曜・祝日

気になる歯並びはどれですか?

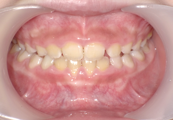
症例1

治療内容 治療内容:親御さんよりお子さんの歯並びが気になっていた。特に前歯の重なりを気になっていた。また、お母さん自身も歯並びの治療を行った経験があり、今回は早い段階での治療を行いました。現在は治療途中でありますが、前歯の重なりは早期で改善され、これからは下の歯を綺麗に並べていく予定となっています。
来院回数 10回
費用 47.3万(税込)+月々指導料4,400円
リスク MFT(トレーニング)未実施による治療不完全によるリスク
症例写真 2020.11~ 精密検査を実施(相談時は7歳)
2021.1~ マイオをセット、治療開始
2021.11 現在、治療7割程度完了、残り治療期間1年程度を予定

2020.11

2021.10

症例2

治療内容 親御さんよりお子さんの歯並びが気になっていた。前歯の下が隠れてしまっている点が気になるということで検査を行い、歯並びの現状に合わせて筋機能に課題があり、マイオブレイスを使用した筋機能矯正を治療を開始した。
治療開始 2020年11月20日から治療開始
費用 52.8万(税込)+月々指導料4,400円
リスク MFT(トレーニング)未実施による治療不完全によるリスク

2020.11

2021.11

子供の歯並び相談室 お電話でのご予約 お問い合わせ tel.045-439-6110

【診療時間】09:30~12:30 14:30~18:30 ※土曜は14時〜17時まで
【休診日】水曜・日曜・祝日
受付は診療時間の30分前までにお済ませください

いとう歯科クリニック

〒222-0032 神奈川県横浜市港北区大豆戸町212-1 ラ・グランデ菊名1F 102

無料!矯正歯科相談矯正歯科はこちら

医院情報 ABOUT いとう歯科クリニック

いとう歯科クリニック
〒222-0032
神奈川県横浜市港北区大豆戸町212-1
ラ・グランデ菊名1F 102
TEL 045-439-6110

子供の歯並び相談室お子さんの歯並びをサポートする!いとう歯科クリニック運営

【休診日】 水曜・日曜・祝日
※ 土曜日の午後は14:00-17:00の診療となります。
受付は診療時間の 30分前までにお済ませください

Copyright © ITO DENTAL CLINIC All Rights Reserved.

▲…土曜の午後は14:00-17:00の診療となります受付は診療時間の30分前までにお済ませください WEB予約